Izbornik Zatvoriti

ultrazvuk štitaste žlezde

Ultrazvuk štitaste žlezde sa kolor doplerom je pouzdana i bezbolna dijagnostička metoda. U slučaju potrebe pregled se može ponavljati bez ikakvog rizika od oštećenja tkiva i ne zahteva posebnu pripremu pacijenta.

Ultrazvukom se dijagnostikuju sve promene u veličini, strukturi (građi) i prokrvljenosti štitaste žlezde. Ukoliko se otkriju neke promene na štitastoj žlezdi, pacijent se upućuje na pregled kod endokrinologa koji procenjuje potrebu dalje dijagnostike (laboratorijske analize, scintigrafija…).

Ultrazvuk vrata, pored pregleda štitaste žlezde, obuhvata i pregled paraštitastih žlezda (što je posebno korisno kod pacijenata sa kamenom u bubregu, kod pacijenata na hemodijalizi), submandibularnih i parotidnih pljuvačnih žlezda, prisustvo limfnih čvorova, tumora različitog porekla…

Neizostavan deo ultrazvučnog pregleda vrata je i pregled krvnih sudova vrata, njihova morfologija, prisustvo plakova, stenoza… 

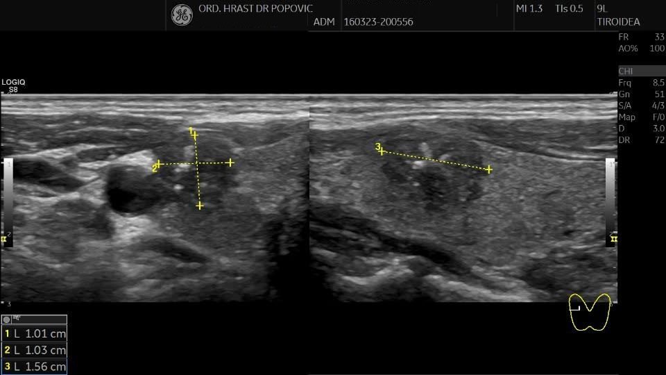
Ultrazvučni pregled štitaste žlezde - Papilarni karcinom štitaste žlezde - ACR TI-RADS 5

Ultrazvučni pregled štitaste žlezde - Papilarni karcinom štitaste žlezde - ACR TI-RADS 5

Ultrasound examination of the thyroid gland - Papillary carcinoma of the thyroid gland ACR TI-RADS 5

Ultrasound examination of the thyroid gland - Papillary carcinoma of the thyroid gland ACR TI-RADS 5

Posebno naglašavamo značaj pregleda matričnom sondom. Radi se o posebno tehnološki usavršenoj sondi kojom pregledamo dojke, štitastu  žlezdu, mišićno-koštano-zglobne i druge mekotkivne strukture i pokazujemo do najsitnijih detalja građu tih struktura. Koliko je ova sonda usavršena u odnosu na klasične sonde, pa čak i izuzetno dobre sonde koje se koriste u našim ustanovama, pa i u drugim bolničkim sistemima, u drugim zemljama, pokazuje činjenica da ova sonda ima četiri puta više kristala koji su značajni za vizualizaciju ili prikaz promene u strukturama. Tako dobijamo izuzetno oštru, izuzetno rezolutivnu sliku, a time i značajno više informacija.

Elastografija

Ordinacija za ultrazvucnu dijagnostiku HRAST DR POPOVIĆ pregleda promene u dojkama i štitastoj žlezdi posebnom ultrazvučnom dijagnostičkom metodom, ELASTOGRAFIJOM. 

ELASTOGRAFIJOM se meri otpor mekih tkiva u cilju otkrivanja sumnjivih promena i određivanja prirode tumora. Zasnovana je na činjenici da svi tumori, posebno zloćudni, pružaju otpor na pritisak sondom, što se prikazuje promenama boje na monitoru ultrazvučnog aparata, od crvene, peko žute i zelene za normalna tkiva, do plave i sivo crne za sumnjiva i tumorski izmenjena tkiva. Izmereni otpori pokazuju da neki tumori daju pet,  pa i preko dvadeset puta veći otpor na pritisak u odnosu na normalne strukture. Razlog u povećanom otporu tumorskog tkiva treba tražiti u nekontrolisanom bujanju ćelija, širenju vezivnog tkiva, neovaskularizaciji, promeni oblikam i građe tkiva.

Strana iskustva tokom poslednjih nekoliko godina pokazuju da pozitivan nalaz na elastografiji u ispitivanju sumljivih promena dojke u preko 90%, biva potvrđen histopatološkim nalazom prisustva maligne bolesti u ispitivanoj promeni, odnosno tkivu.

Ultrazvuk štitaste žlezde

Pregled rađen standardnom visokofrekfentnom linearnom sondom, uočava se samo jedan nodus i grublja građa ostatka parenhima štitaste žlezde.

Ultrazvuk štitaste žlezde matričnom sondom

Isti sken ali sada pregled matričnom visokofrekfentnom linearnom sondom, pored već viđenog čvora sada se uočava još jedan koji se pri pregledu prethodnom sondom nije prikazivao.

Ultrazvuk štitaste žlezde sa kolor doplerom

ultrazvuk štitaste zlezde

Isti sken sa kolor doplerom jasno prikazuje dva čvora i njihovu vaskularizaciju.

ORDINACIJA ZA ULTRAZVUČNU DIJAGNOSTIKU
HRAST DR POPOVIĆ

Call Now Button